Каждая улыбка, представленная в нашем портфолио, — это уникальная история преображения. На этой странице вы найдёте результаты лечения зубов, имплантации и реставраций, которые подтверждают высокий уровень профессионализма нашей команды. В клинике ДенталЭлит мы не просто лечим зубы — мы помогаем вернуть уверенность, комфорт и радость открытой улыбки.
Что стоит за фотографиями «до» и «после»?
Мы гордимся каждой улыбкой, созданной в ДенталЭлит, и уверены, что вы найдёте вдохновение в реальных примерах нашей работы.
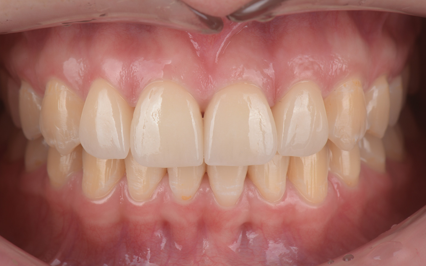
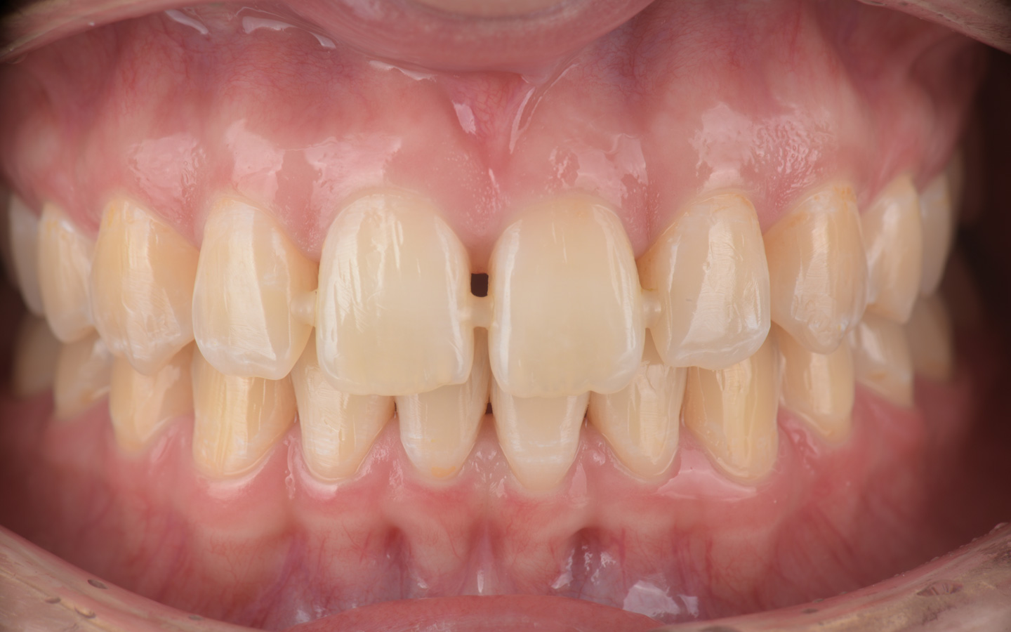
после проведения ортодонтического лечения, нормализации формы зубных рядов и положения отдельных зубов пациентку беспокоили щели между зубами
установлены 4 керамических винира из полевошпатной керамики в щадящем типе препарирования зубов для создания гармоничной улыбки в естественном цвете собственных зубов
пациентке были установлены композитные виниры более 10 лет, за время эксплуатации они потеряли свой внешний вид и функциональность, под ними развился вторичный кариес
была выполнена большая тотальная работа по восстановлению высоты сниженного прикуса, замена композитных реставраций на керамические виниры, накладки и коронки, восстановили эстетику и функцию
пациентку беспокоила неэстетичная улыбка, разный цвет и форма зубов, отсутствовали некоторые жевательные зубы, отмечалась патология прикуса
была выполнена большая тотальная работа по восстановлению эстетики и функции, провели терапевтическую санацию полости рта, диагностику состояния височно-нижнечелюстных суставов, установили имплантаты, установили керамические реставрации на все зубы в естественном цвете а1
пациентку беспокоили расстояния между зубов, неидеальная форма зубов, сколы по режущим краям и желтоватый цвет зубов
установлены 8 керамических виниров из полевошпатной керамики в щадящем типе препарирования зубов для создания гармоничной улыбки в цвете а1, восстановлена эстетика улыбки и функция зубов
пациентка после ортодонтического лечения, все зубы имеют стираемость и чувствительность, пациентку беспокоит желтоватый цвет зубов
проведена тотальная работа с поднятием высоты прикуса, восстановлен стертый объем тканей с помощью керамических реставраций на все зубы, выбран яркий цвет керамики bleach 2 для ослепительной улыбки нашей молодой пациентки
пациентка жаловалась на стираемость своих зубов и отсутствие частично жевательных зубов
выполнена тотальная реабилитация, установлены дентальные имплантаты, диагностика, временное протезирование с поднятием высоты прикуса и затем постоянное протезирование коронками из диоксида циркония на зубах и имплантах
после проведения ортодонтического лечения, нормализации формы зубных рядов и положения отдельных зубов пациентку беспокоили щели между зубами
установлены 4 керамических винира из полевошпатной керамики в щадящем типе препарирования зубов для создания гармоничной улыбки в естественном цвете собственных зубов
пациентка жаловалась на неэстетичную улыбку, отсутствие центрального зуба, ранее много лет на передних зубах были металлокерамические коронки, сложность работы была также в значительной потере мягких тканей в области удаленного резца
установлен имплантат в области удаленного ранее зуба, проведена пластика мягких тканей в несколько этапов, временное протезирование для формирования правильного и эстетичного профиля десны и затем постоянное протезирование: на имплантат изготовлен индивидуальный циркониевый абатмент, далее изготовлены коронки и виниры из керамики
пациентка жаловалась на неэстетичную улыбку, проблемы с формой и цветом зубов, стираемость и сильную чувствительность зубов
проведена терапевтическая санация полости рта, выполнена тотальная реабилитация, на все зубы установлены 28 керамических реставраций (виниры, накладки, коронки) для восстановления анатомической формы зубов
патология прикуса, множественные деформации, сколы, отсутствующие зубы, эстетический дефект
проведена терапевтическая санация, ортодонтическое лечение брекет-системой, имплантация отсутствующих зубов, протезирование жевательных зубов и имплантатов и изготовление 4 керамических виниров в зоне улыбки
жалобы пациентки на стираемость зубов, снижение высоты прикуса, сколы пломб, изношенные композитные виниры, неэстетичную улыбку и оголение десны при улыбке
провели терапевтическую санацию, хирургическое удлинение зубов в зоне улыбки, тотальное восстановление всех зубов керамическими реставрациями с поднятием высоты прикуса
пациентка жаловалась на стираемость зубов, сколы и отсутствие зубов, эстетические проблемы
выполнена тотальная реабилитация пациентки, установлены имплантаты и коронки из диоксида циркония на зубах и имплантатах
патология прикуса, кариозные дефекты, отсутствующие зубы, сколы и дефектные пломбы
проведена терапевтическая санация, ортодонтическое лечение на брекет-системе, протезирование керамическими коронками и винирами
пациент жаловался на эстетическую проблему, промежутки между зубами, проблемы с формой и цветом зубов
проведена диагностика, имплантация в области жевательного отсутствующего зуба, временное протезирование и затем постоянное протезирование керамическими коронками и винирами в новой высоте прикуса
пациентка жаловалась на неэстетичную улыбку и проблемы с прикусом
проведено ортодонтическое лечение на брекет-системе, после чего установлены 4 винира из полевошпатной керамики, в цифровом протоколе, с минимальным препарированием зубов для нормализации формы и размера верхних резцов
пациентка жаловалась на неэстетичную улыбку, щели между зубами
проведено офисное отбеливание зубов, установлены 4 керамических винира в цифровом протоколе из полевошпатной керамики в технике минимального препарирования зубов
жалобы на проблемы с формой и цветом зубов, стираемость, рецессии десны, ранее пациентка уже проходила ортодонтическое лечение в другой клинике
проведена терапевтическая санация полости рта, повторное ортодонтическое лечение на брекет-системе, после нормализации формы зубных дуг и положения отдельных зубов, проведена имплантация отсутствующего жевательного зуба, протезирование керамическими коронками и винирами в цвете блич 3
пациентка обратилась с жалобой на отсутствие зубов на верхней и нижней челюсти, длительное время пациентка пользовалась съемными протезами
провели имплантацию по протоколу «All on 6» на верхней и нижней челюсти, используя цифровое планирование и хирургические шаблоны, провели протезирование сначала временными протезами, а после интеграции имплантатов постоянными конструкциями из диоксида циркония